Hot Photo
Desi Puspasari - detikHot
Jumat, 13 Jun 2025 06:10 WIB
Jakarta - Kejadian buruk gak ada yang tahu. Itulah yang terjadi dengan Irwansyah. Dia mengalami patah kaki saat asyik main bareng anak.
Irwansyah mengalami patah tulang pada bagian kakinya. Foto: dok. Instagram Irwansyah

Bagian kaki Irwansyah yang patah menggunakan gips. Foto: dok. Instagram Irwansyah

"Kakinya ya qadarullah lagi main sama Ukasya, lagi muter-muter salah gerakan gitu. Dia kayak lagi swing ilang balance, qadarullah ya patah," kata Zaskia Sungkar dikutip dari Selebrita, Kamis (12/6/2025). Foto: dok. Instagram Irwansyah

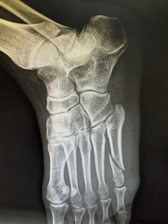
Ini hasil rontgen bagian kaki Irwansyah yang mengalami patah tulang. Foto: dok. Instagram Irwansyah

Meskipun kaki patah, Irwansyah jadi bisa menikmati banyak waktu main bareng anak-anaknya. Foto: dok. Instagram Irwansyah

"Alhamdulillah, banyak belajar dari perjalanan yang luar biasa ini. Allah kasih ujian dengan patahnya kaki, tapi bersyukur jadi banyak main sama kesayangan di rumah. Pasti Allah tahu yang terbaik buat kita. semoga ini menjadi penggugur dosa," tulis Irwansyah dalam unggahan Instagramnya. Foto: dok. Instagram Irwansyah

Irwansyah bisa berdiri dengan bantuan tongkat. Dia memilih memakai gips daripada harus dioperasi. Foto: dok. Instagram Irwansyah

7 months ago
34























